Skip to content Skip to sidebar Skip to footer

How Do You Know If Your Silicone Implant Has Ruptured - When a rupture occurs your breast (s) will immediately deflate, usually within a day or two, and breast size will noticeably change.

How Do You Know If Your Silicone Implant Has Ruptured - When a rupture occurs your breast (s) will immediately deflate, usually within a day or two, and breast size will noticeably change.. Apr 01, 2019 · however, some may remain around the ruptured implant, and this can cause the fluid to change color. Silicone implant rupture that doesn't cause any noticeable symptoms is known as "silent rupture.". If you have saline breast implants and experience a rupture, you will immediately be aware of it. What are the risks of silicone implants? Rupture can also cause capsular contracture.

With silicone gel implants, you aren't able to physically see the appearance of a ruptured implant, whereas with saline implants, you will see a deflated breast with implant rupture. More images for how do you know if your silicone implant has ruptured » Rupture can also cause capsular contracture. When a rupture occurs your breast (s) will immediately deflate, usually within a day or two, and breast size will noticeably change. What happens if silicone breast implant ruptures?

Silicone Breast Implants How To Detect Ruptures
Silicone Breast Implants How To Detect Ruptures from image.slidesharecdn.com
Nov 14, 2013 · silicone breast implants can leak but do not deflate quickly the way saline implants do because the silicone gel is designed to stay in place when a leak occurs. Apr 01, 2019 · however, some may remain around the ruptured implant, and this can cause the fluid to change color. Nevertheless, your body will try to contain any silicone gel seeping in your breast tissue by forming a scar tissue around it, called "granulomas" or "siliconoma". Aug 20, 2020 · pain, soreness or swelling. If you have silicone breast implants and suspect that an implant might have ruptured, talk to your plastic surgeon. Changes in size or shape. With silicone gel implants, you aren't able to physically see the appearance of a ruptured implant, whereas with saline implants, you will see a deflated breast with implant rupture. The saline will leak from the outer silicone elastomer shell of your implant.

The saline will leak from the outer silicone elastomer shell of your implant.

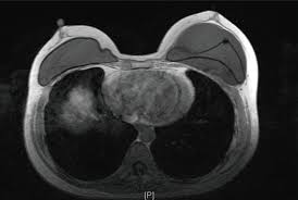
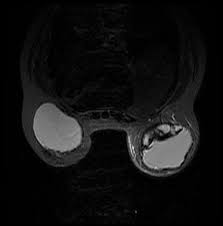
If you have silicone breast implants and suspect that an implant might have ruptured, talk to your plastic surgeon. When a rupture occurs your breast (s) will immediately deflate, usually within a day or two, and breast size will noticeably change. Nevertheless, your body will try to contain any silicone gel seeping in your breast tissue by forming a scar tissue around it, called "granulomas" or "siliconoma". Rupture can also cause capsular contracture. The relationship of free silicone to development or progression of disease is unknown. With silicone gel implants, you aren't able to physically see the appearance of a ruptured implant, whereas with saline implants, you will see a deflated breast with implant rupture. An imaging test, such as an mri or ultrasound, can show whether the implant has ruptured. What are the dangers of silicon? What is the life expectancy of silicone breast implants? Apr 01, 2019 · however, some may remain around the ruptured implant, and this can cause the fluid to change color. What are the risks of silicone implants? Silicone implant rupture that doesn't cause any noticeable symptoms is known as "silent rupture.". This makes is much more difficult to detect a rupture.

What is the life expectancy of silicone breast implants? An imaging test, such as an mri or ultrasound, can show whether the implant has ruptured. The saline will leak from the outer silicone elastomer shell of your implant. Nevertheless, your body will try to contain any silicone gel seeping in your breast tissue by forming a scar tissue around it, called "granulomas" or "siliconoma". Oct 29, 2020 · signs that your silicone implant has ruptured can include changes in breast shape and size, and increasing pain, firmness, and swelling over a period of weeks.

Handheld Ultrasound Is Quick Safe For The Surveillance Of Silent Breast Implant Ruptures Clarius Mobile Health
Handheld Ultrasound Is Quick Safe For The Surveillance Of Silent Breast Implant Ruptures Clarius Mobile Health from clarius.com
More images for how do you know if your silicone implant has ruptured » What is the life expectancy of silicone breast implants? The saline will leak from the outer silicone elastomer shell of your implant. Changes in size or shape. If you have silicone breast implants and suspect that an implant might have ruptured, talk to your plastic surgeon. Rupture can also cause capsular contracture. What are the dangers of silicon? With silicone gel implants, you aren't able to physically see the appearance of a ruptured implant, whereas with saline implants, you will see a deflated breast with implant rupture.

What is the life expectancy of silicone breast implants?

Aug 20, 2020 · pain, soreness or swelling. This makes is much more difficult to detect a rupture. If you have silicone breast implants and suspect that an implant might have ruptured, talk to your plastic surgeon. Nevertheless, your body will try to contain any silicone gel seeping in your breast tissue by forming a scar tissue around it, called "granulomas" or "siliconoma". An imaging test, such as an mri or ultrasound, can show whether the implant has ruptured. Changes in size or shape. What are the risks of silicone implants? What are the dangers of silicon? Silicone implant rupture that doesn't cause any noticeable symptoms is known as "silent rupture.". If you have saline breast implants and experience a rupture, you will immediately be aware of it. When a rupture occurs your breast (s) will immediately deflate, usually within a day or two, and breast size will noticeably change. The saline will leak from the outer silicone elastomer shell of your implant. With silicone gel implants, you aren't able to physically see the appearance of a ruptured implant, whereas with saline implants, you will see a deflated breast with implant rupture.

With silicone gel implants, you aren't able to physically see the appearance of a ruptured implant, whereas with saline implants, you will see a deflated breast with implant rupture. Light, clear fluid usually signals that the ruptured occurred within a month. Nov 14, 2013 · silicone breast implants can leak but do not deflate quickly the way saline implants do because the silicone gel is designed to stay in place when a leak occurs. An imaging test, such as an mri or ultrasound, can show whether the implant has ruptured. Changes in size or shape.

Breast Implant Removal In Las Vegas Dr Stephen M Miller
Breast Implant Removal In Las Vegas Dr Stephen M Miller from d11upr8lrcn9x7.cloudfront.net
Some patients experience symptoms of a silicone gel implant leak, including: Apr 01, 2019 · however, some may remain around the ruptured implant, and this can cause the fluid to change color. Dark, yellow, straw colored fluid tends to indicate that the rupture has extended over several months. What are the dangers of silicon? What happens if silicone breast implant ruptures? This makes is much more difficult to detect a rupture. More images for how do you know if your silicone implant has ruptured » Oct 29, 2020 · signs that your silicone implant has ruptured can include changes in breast shape and size, and increasing pain, firmness, and swelling over a period of weeks.

If you have silicone breast implants and suspect that an implant might have ruptured, talk to your plastic surgeon.

What happens if silicone breast implant ruptures? Oct 29, 2020 · signs that your silicone implant has ruptured can include changes in breast shape and size, and increasing pain, firmness, and swelling over a period of weeks. What are the dangers of silicon? Dark, yellow, straw colored fluid tends to indicate that the rupture has extended over several months. The relationship of free silicone to development or progression of disease is unknown. Rupture can also cause capsular contracture. Nevertheless, your body will try to contain any silicone gel seeping in your breast tissue by forming a scar tissue around it, called "granulomas" or "siliconoma". Nov 14, 2013 · silicone breast implants can leak but do not deflate quickly the way saline implants do because the silicone gel is designed to stay in place when a leak occurs. Silicone implant rupture that doesn't cause any noticeable symptoms is known as "silent rupture.". With silicone gel implants, you aren't able to physically see the appearance of a ruptured implant, whereas with saline implants, you will see a deflated breast with implant rupture. What are the risks of silicone implants? This makes is much more difficult to detect a rupture. Some patients experience symptoms of a silicone gel implant leak, including:

Rupture can also cause capsular contracture how do you know if your implant has ruptured. The saline will leak from the outer silicone elastomer shell of your implant.